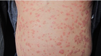
长春市那里治疗皮肤病好?我去年头部很痒没注意这几天四肢伸侧起了一点红斑,很痒,用手挠掉皮,挠出血才舒服。去医院检查,医生说是银屑病医生给开的都是西药我消化不是很好偏瘦我想知道怎么调理银屑病才让我身体好的快。

长春博润银屑病医院的医师解答:你好,能治好,但不能根治,如果不注意防护会复发的。银屑病可选择正规的专科专业性较强的医院进行治疗,没有特效药物,不要相信广告的时间短见效快的宣传,多为激素类药物,好的快复发的也快。另外不建议食用大量西药,会损伤肝肾。最好是中药,见效慢,但副作用小,复发概率低,治疗要有耐心,平时注意饮食和调护,是没有问题的。
长春市那里治疗皮肤病好?病情分析1:你的情况可能是由于真菌感染引起的体癣的现象导致的。指导意见:建议你可以服用克霉唑和克霉唑乳膏进行治疗即可。
病情分析2,孩子得了牛皮癣确实是一件很头痛的事情,在饮食方面,建议不要吃一些海鲜发物,红肉类的食物,另外一些辛辣刺激的食物,您也要尽量不要给孩子吃。同时还要注意不要因为溺爱孩子,答应孩子吃零食的要求,零食虽然好吃,但是没有什么营养,过分的摄入,还会影响正餐的食用,因此建议您不要给孩子吃零食,可以多吃一些新鲜的蔬菜和水果,注意补充水分等,都是对病情有很大帮助的。
长春市那里治疗皮肤病好?医生指出,患者对于牛皮癣有很多不了解,其实牛皮癣并不是一种无法治愈的皮肤病,对 于牛皮癣的治疗,患者也应该注意找到专门可靠的医院进行,避免因为治疗不当造成发病的加 重。牛皮癣会给患者造成一系列心理和生理的伤害,会影响到患者的生活和工作,虽然牛皮癣 难治愈,但却并不是无法治愈,对于患者来说,做好牛皮癣的治疗工作是非常关键的。







点击咨询









