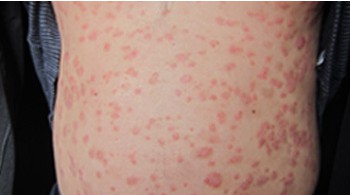
长春市皮肤病那个医院看的好?患上牛皮癣,腿上挺严重的,很痒,请问有什么药物好呢

长春博润银屑病医院的医师解答:你好,牛皮癣请尽早治疗,到专业的牛皮癣医院检查和治疗,查明诱因对症治疗牛皮癣是能治好的,关键在于尽早治疗和对症治疗。一定不要用些普通皮肤病药物,这些药物对牛皮癣基本是没有效果的。
长春市皮肤病那个医院看的好?病情分析1,银屑病是一种炎症的皮肤病,是有多种因素导致的疾病,银屑病虽然是一种皮肤病,但是并不会传染,但是具有遗传性,牛皮癣不能根治,患者需要正规的专业的治疗。
病情分析2,儿童牛皮癣的发病一般与扁桃体发炎有关,同时还与遗传、感染、外伤、饮食、精神刺激、季节变化等有关,当然对儿童银屑病发病的因素不明确,希望患者家长要多关注孩子的身体状况,做好预防工作,注意保暖,预防感冒、发烧等症状出现。
长春市皮肤病那个医院看的好?不管从什么角度出发,对于牛皮癣这样的皮肤顽疾都不能掉以轻心,千万不要以久病成医的姿态自居,否则只会贻误牛皮癣的比较佳治疗,而选择可靠医院,你将收获牛皮癣痊愈的比较大希望 。
上一篇:长春好一点的皮肤病医院
下一篇:长春市那里治疗皮肤病好







点击咨询









