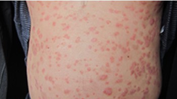
长春博润皮肤病研究医院?最近不知道是怎么的,就是发现爷爷的小腿上有很多的白色的皮屑,下面都是红红的,丘疹很大一片的,抓的坏就会出血,一直很痒痒,爷爷就睡不着,一直的抓,不知道要怎么止痒啊。

长春博润银屑病医院的医师解答:您好,不建议您使用偏方治疗,蝎子是有毒的,盲目使用,后患无穷。治疗牛皮癣还是应该到正规的牛皮癣医院,科学的诊断,规范的治疗,此外注意加强牛皮癣的护理保健,防护结合,早点康复。
长春博润皮肤病研究医院?病情分析1:皮肤的疾病作直观的检查是很重要的,因为很多的皮肤病表现都比较类似的,再加上单纯的从文字描述可能也并不是太准确。指导意见:建议去医院做光疗,也可以使用中药无激素的产品,像顽皮邦银克王也不错。直接涂抹患处即可;
病情分析2,具体的我也不是很清楚,但是需要明确的就是牛皮癣发生的原因至今没有明确,但是需要注意的就是牛皮癣患者的免疫力需要提高,不仅对身体好,还对病情有好处。
长春博润皮肤病研究医院?医生提醒:治疗牛皮癣就是看到了牛皮癣病情真实形势,在自主研发的中医扶阳克癣系列组方,保证一人一方的前提下,更是为牛皮癣患者建立个人终身档案,并由医生亲自监督整个康复过程,确保每一位患者都能够达到比较好的治疗效果。
上一篇:长春儿童牛皮癣治疗医院
下一篇:长春博润医院3D净血疗法







点击咨询









