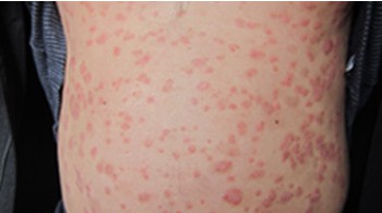
长春儿童牛皮癣治疗医院?最的发现身上很多皮屑,手上还有点儿痒痒的,起初还以为是太阳晒太多了,掉皮,现在才发现身上一块一块的白斑,现在全身上下都是,感觉很异样,吃了很多药物都没有效果。

长春博润银屑病医院的医师解答:你好,皮肤病银屑病传统中医药辨证调理治疗,虽然它的治疗见效时间比较长比较慢,但是可以从本质上有效降低和减少疾病的复发,以免影响身心健康。在饮食上,都是要忌辛辣刺激性食物,不抽烟,不喝酒,不吃高热性食物,多吃清淡性食物,多吃蔬菜水果。
长春儿童牛皮癣治疗医院?病情分析1:你好,牛皮癣就是一个反复发作的皮肤病,治疗起来比较困难。指导意见:治疗牛皮癣一定不能盲目,一定要去专治的牛皮癣医院,治病求本,调整失调的气血津液,正确地听从专治医生的指导,才好对症下药。可以使用中药的外用产品比较安全,顽皮邦银克王就可以。
病情分析2,怀孕期间建议牛皮癣患者不要乱用药物,因为是药三分毒,盲目的用药很容易产生危险,影响胎儿的健康发育,所以一定要注意尽量的避免。此外如果病情不是很严重的话,建议通过饮食、运动、作息等健康的生活方式改善体质,控制病情的发展。在饮食中,要合理的膳食,多吃一些营养丰富的食物。在运动中养成良好的运动习惯,合理的锻炼身体。在作息中,合理的休息,保持充足的睡眠等。
长春儿童牛皮癣治疗医院?医生提醒:患了牛皮癣不要太过于担心,及时去可靠的医院就诊治疗,不要抱有牛皮癣不治自愈的侥幸心理,那样反而会错过牛皮 癣的比较佳治疗时机,对牛皮癣患者是很不利的,要做到早发现、早治疗,让你远离牛皮癣的困扰。







点击咨询









