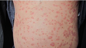
我每年一到夏天的时候,身上就特别的容易长牛皮癣,去年就长了很多,那种红色的斑,看着特别的恶心,很害怕今年也会长,所以我就想提前预防一下。

长春博润银屑病医院的医师解答:你好,激光治疗可以的,但是根治也是有难度的。而且激光治疗牛皮癣会增加牛皮癣病人患皮肤癌的危险,在治疗时有的病人害处发生一些红斑和术后色素沉积;激光治疗牛皮癣只能控制和减轻牛皮癣的症状,不能从根本上达到治好的效果。所以还是要慎重选择。爱美固然重要,但是也是有很大风险的。
病情分析1:你好,牛皮癣是一种常见的慢性皮肤病,其特征是在红斑上反复出现多层银白色干燥鳞屑。治疗牛皮癣有很多的方法,但是每个的具体情况都是不一样的,要根据个人情况,制定个人的医疗方案的。建议使用中药无激素的产品,可以试试顽皮邦银克王药膏,直接涂抹患处即可。
病情分析2:您好,最初,牛皮癣下药定然要遵医嘱,恰当下药及正当下药工夫,发觉没有良的药品反响要及时停用并及时向医生反应,已采取准确的弥补缓解措施。
医生指出:这种皮肤病要先从心理进行相应的治疗,希望这些知识可以给您带去帮助,如果还有类似的问题想知道,可以在线和我们的医生进行交流。
上一篇:长春牛皮癣专科医院长春博润银屑病医院
下一篇:长春博润皮肤病医院附近有什么医院







点击咨询









