我发现自己得了银屑病是在半年前,我积极治疗,可能死我的压力有点大吧,我的病情控制的不是很好,有越来越厉害的趋势,皮损面积越来越多,我真不知道该怎么了。

长春博润银屑病医院的医师解答:你好,可以采用紫外线适用于静止期冬季型病例,禁用于夏季型患者。光化学疗法(PUVA)。宽谱中波紫外线疗法。窄谱中波紫外线疗法。308nm单频准分子激光疗法。光动力学疗法。沐浴疗法(水疗)。
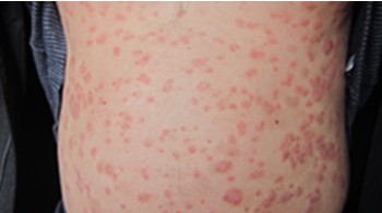
病情分析1:银屑病俗称“牛皮癣”,是一种常见的易于复发的慢性炎症性皮肤病,特征性损害为红色丘疹或斑块上覆有多层银白色鳞屑指导意见:药物治疗可选择局部钙调神经磷酸酶抑制剂,吡美莫司和他克莫司局部用药可作为特殊部位银屑病治疗的合理补充,还可以选择糖皮质激素与水杨酸联用可提高疗效
病情分析2:您好,一些牛皮癣病人从天而降的患了牛皮癣皮肤病,就会自觉的医治,运用皮质荷尔蒙和其余一些免疫抑止剂,那样对于牛皮癣的会有临时肥效,没有加取舍地运用这类药品,使许多牛皮癣病人蒙受食品破坏之苦。这类药对于牛皮癣固然有明显成效,然而停药即复发,并且复发一次比一次减轻。 病情分析2:您好,牛皮癣自身就是一种受多种要素反应的疾病,没有同的牛皮癣病源,引发的牛皮癣病况也是没有一样,牛皮癣犯病基本病源是五中的平衡而招致的,于是,牛皮癣的犯病与很多外界的要素相关,内伤和沾染类的都会招致牛皮癣的减轻或者复发,于是牛皮癣的犯病还与物质要素有很大的联系,因为物质压力过大,也会招致牛皮癣的犯病。
医生提醒:治疗牛皮癣比较好是早发现早治疗,早期是治疗牛皮癣的好时机的,患者们一定要抓住这个机会去治疗,希望大家可以尽早恢复健康,不要随便的去使用偏方,导致给身体带来很大的危害。







点击咨询









