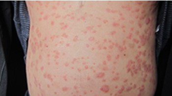
我孩子今年5岁,最近她的手脚上长了很多小红疙瘩,而且非常痒,去了好多医院诊所,有的说是牛皮癣有的说是银屑病,请问这两种病有什么区别啊,该怎么治疗呢?

长春博润银屑病医院的医师解答:你好,从银屑病皮肤顽症的源头入手,在清除血毒的同时,对血毒的源头—内脏进行深层排毒和治疗,调节内部脏腑的功能。治疗建议你不要盲目的使用药物来治疗,不要使用一些含有激素类的软膏来治疗。易过敏的食物尽量少吃。
病情分析1:你好银屑病病因不明目前很难根治指导意见:本病治疗主要是应用维生素免疫抑制剂光化学疗法必要时加用激素
病情分析2:您好,置信大少数的人对于紫内线某个语汇都比拟相熟吧,只没有过正在大少数人的回忆里,紫内线是一种对于人体无害的光线,假如适度照耀的话就会惹起各族皮肤病的发作,殊没有知紫内线再有此外一种作用,就是关于牛皮癣的医治,
医生提醒:根据牛皮癣的病因复杂多样、病症千变万化、患者的体质形态各异,以及其他不可忽视的因素,决定治疗牛皮癣,千人一方的方法绝不适用。
上一篇:谁去过长春博润皮肤医院
下一篇:长春博润皮肤病医院是医保定点医院吗







点击咨询









