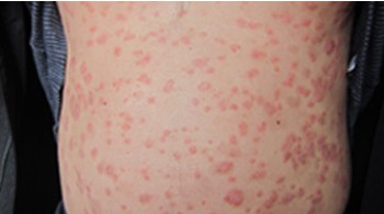
长春哪治牛皮癣治的好?一般一方患有牛皮癣概率大约是多少啊?因为牛皮癣一般都是夏季缓解,是不是夏季怀孕就不遗传了呀

长春博润银屑病医院的医师解答:你好,建议你治疗不要局限化,可以关注一下国内的医院。由于目前银屑病的病因没有明确,所以目前国际上根治银屑病是不现实的,但是可以临床康复的。就是说可以使症状控制在几年内不复发,皮肤恢复正常色。目前国际上主张采取中药治疗。 主要攻克肝阴不足,以及与之紧密相连的肺和脾,银屑病的治好就轻而易举了。 而传统中医理论,并没有真正找到银屑病的发病原因,只是捉住血的问题,即银屑病的症状来进行用药,自然不会有疗效。免疫平衡自然疗法认为,银屑病的真正原因在肝阴不足,而不在血,血的问题是由肝阴不足引起的。这才是银屑病的本质。
长春哪治牛皮癣治的好?病情分析1:你好,牛皮癣是由于风邪外侵,伏于营血,发于皮肤而成红斑鳞癣或饮食失节。指导意见:动作要轻揉,不要强行剥离皮屑,以免造成局部感染。建议使用顽皮邦银克王纯中药配方,直接涂抹就可以了。
病情分析2,根据患者的病情描述,患者使用光疗的方法进行治疗牛皮癣,能起到一定的治疗作用的,建议红皮型牛皮癣患者及时去专业的医院进行治疗,可以根据自己的病情状况,来选择比较适合自己的正确的方法进行治疗。
长春哪治牛皮癣治的好?通过上面的介绍,大家应该有所了解吧,医生提醒:牛皮癣不是无法治愈的,治愈牛皮癣比较重要的就是患者要选择正确的医院,还有做好治疗过程中的各方面工作。牛皮癣患者如果能够从生活中的每一方面做起,牛皮癣是能够很快好转甚至痊愈的。







点击咨询









