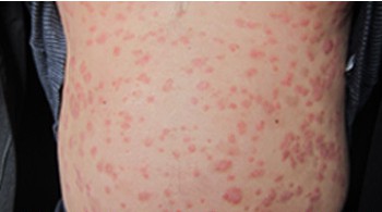
长春有名的皮肤科是哪个?我皮肤会出现一些红丘疹,之前量很少,但是现在变得很多了,皮肤也是慢慢的开始瘙痒了,还出现了白色皮屑,我上医院去做了X线的检查后,医生告诉我患的是牛皮癣,牛皮癣要怎么去做治疗呢?

长春博润银屑病医院的医师解答:您好,不否定有的银屑病患者使用偏方治疗银屑病之后效果是比较好的,但是还有更多的患者使用之后病情没有好转甚至病情加重的现象,因此需要注意的就是偏方的治疗效果是不稳定的,患者使用存在风险,不建议患者盲目使用偏方。
长春有名的皮肤科是哪个?病情分析1,银屑病不是一种传染性的疾病,因此银屑病是不会通过一定的传染途径进行传染的。所以希望患者要树立正确的心态,积极到正规专业的医院治疗,有助于患者的康复。
病情分析2,得了牛皮癣,在生活中注意的事项确实是很多的。为了更好更快的康复,一定要注意护理保健。在饮食中,要尽量的避免食用一些辛辣刺激的食物,另外一些发物也要尽量的避免,可以多吃一些新鲜的水果和蔬菜,对于健康很有帮助。在生活中,洗澡要注意水温不要过高也不能过低,要轻轻的擦洗皮肤,不要硬抓硬挠,要选择无刺激的沐浴产品,养成勤洗澡的好习惯。最后祝您早点康复。
长春有名的皮肤科是哪个?通过上面的介绍,大家应该有所了解吧,治疗牛皮癣关键是要找准一种方法,要做好和疾病长期斗争的准备,坚持下去,随意更换治疗方法只会阻碍疾病的治疗。大家要防止陷入这种治疗误区。







点击咨询









