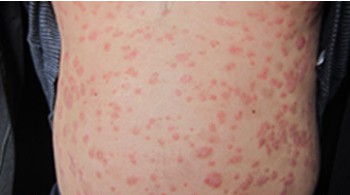
长春博润皮肤病研究院好么?我得了牛皮癣了,是在一个月前的时候身上长了好多的牛皮癣的,到现在也是发痒的难受,有的时候还会在抓的时候破了后不长的时间更加的发痒的,现在我也不知道我的情况要注意什么。

长春博润银屑病医院的医师解答:你好,银屑病俗称牛皮癣,是一种常见的皮肤病,此病的发生受很多因素的影响,一般的患者在发病的时候皮肤上会出现一些红色的丘疹或者斑丘疹,上面覆盖着鳞屑,将鳞屑刮除后,可出现一层透明的薄膜,继续刮除薄膜,可出现小红出血点,这是临床诊断的依据。
长春博润皮肤病研究院好么?病情分析1,银屑病是一种慢性病,治疗的目的并不是根除本病,而是适当控制疾病,提高患者的生活质量,因此充分的医患沟通、互信和配合非常重要,这是治疗成功的重要保证。建议患者避免各种诱因,根据自身的病症和体质合理配伍中药进行对症治疗,保证不复发病情分析1,银屑病是一种慢性病,治疗的目的并不是根除本病,而是适当控制疾病,提高患者的生活质量,因此充分的医患沟通、互信和配合非常重要,这是治疗成功的重要保证。建议患者避免各种诱因,根据自身的病症和体质合理配伍中药进行对症治疗。
病情分析2,对于这家医院治疗银屑病的效果怎么样,不能单纯的说治疗效果的好坏,这要看患者的具体的个人体质和病情的严重程度来看,因为银屑病是一种很常见的慢性顽固性和易反复发作的皮肤性的疾病,治疗银屑病患者要根据自己的具体情况,适当选择治疗方法,潍坊东方银屑病研究院治疗银屑病有多年的历史,在治疗银屑病上有专业的技术和先进的治疗方法,同时还有临床经验丰富的主治医生,采用传统的疗法,对症治疗银屑病。
长春博润皮肤病研究院好么?医生特别提醒,在治疗牛皮癣的时候,一定要细心谨慎的寻找科学的方法去进行牛皮癣的治疗,不要盲目的相信牛皮癣偏方或盲目治疗,这样不光对牛皮癣症状没有任何帮助,还会加重牛皮癣病情,因此,牛皮癣患者只有找对一个好的专门治疗牛皮癣医院才是关键,只有进一步的检查自己的病因,找出突破口才能实质上治愈牛皮癣。







点击咨询









