长春博润皮肤病医院怎样?最近这几天我也不知道我自己是怎么回事我经常性的感觉自己身体特别的不舒服后来去医院做了详细的检查结果检查说是患上了牛皮癣,

长春博润银屑病医院的医师解答:你好,银屑病需要忌口的食物:、蔬菜类:如生姜、芫荽、大头菜、香椿、尖椒等,建议多吃其它蔬菜。、肉食类:如牛肉、狼肉、驴肉、骆驼肉、羊肉、狗肉、鸡鸭肉、鸽子肉、鸟肉及其汤,还有各类海鲜如各种鱼类(包括鳖等)、螃蟹、虾等,建议食用猪瘦肉、鸡蛋、牛奶等。、调料类:大料、花椒、胡椒、孜然、茴香、桂皮、芥末、芥末油、辣椒酱、火锅调料、方便面调料等。
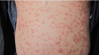
长春博润皮肤病医院怎样?病情分析1,银屑病是一种难缠的疾病,而且至今明确的发生原因是没有的,只是与之相关的因素有以下几种:遗传、免疫、药物、精神、感染、外伤、环境、代谢、内分泌、过敏等等。
病情分析2,牛皮癣患者可以到正规专业的医院去治疗,根据自己的实际情况来选择适当地方法进行治疗,治疗牛皮癣的方法是有很多种的,建议患者及时去正规专业的医院进行治疗,采用中医疗法,通过中药进行调理,能很好地缓解牛皮癣的病症。
长春博润皮肤病医院怎样?温馨提示:好的时机治疗牛皮癣可以加速病情的康复。希望患者可以在发病后及时的进行规范的治疗,控制病情的发展,争取早点康复。
上一篇:长春火车站到长春博润医院
下一篇:长春博润皮肤病医院有人去过吗







点击咨询









